ब्रोकेन लेग ट्रीटमेंट क्या है
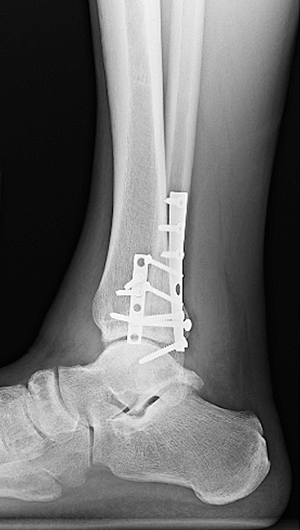
Treatment of a broken leg depends on the location and severity of the injury. A severely broken leg may require surgery to implant devices into the broken bone to maintain proper alignment during healing.
एक टूटे पैर के लिए प्रारंभिक उपचार आमतौर पर एक आपातकालीन कक्ष या तत्काल देखभाल
क्लिनिक में शुरू होता है। यहां, डॉक्टर आमतौर पर आपकी चोट का मूल्यांकन करते हैं और एक
स्प्लिंट के साथ आपके पैर को स्थिर करते हैं।
टूटे हुए पैर का उपचार प्रकार और स्थान के आधार पर अलग-अलग होगा ब्रेक के।
तनाव भंग के लिए केवल आराम और स्थिरीकरण की आवश्यकता हो सकती है।
It takes around 6 to 8 weeks for a minor fracture to heal. You’ll probably need to use crutches or a wheelchair during this time, until it’s possible to put weight on the leg again. You’ll be shown how to safely use any mobility equipment you’re provided with.
You might need surgery to repair a fractured leg, especially if you break your femur. Some people can recover without surgery and only need a splint or cast. You’ll need physical therapy to regain your leg’s strength and ability to move..
use broad bandages (where possible) to prevent movement at joints above and below the fracture. support the limb, carefully passing bandages under the natural hollows of the body. place a padded splint along the injured limb. place padding between the splint and the natural contours of the body and secure firmly.
The 5 most common broken bones are the humerus, the tibia, the ulna, the fibula, and the radius. Most painful break: That would be the femur bone. Top 5 causes of fractures is all sports, snowboarding, monkey bars, trampolines, and scooters.
If the fracture is not treated within four weeks, the patient will need a surgical correction. If left untreated entirely, the injury can become necrotic. Spinal fractures are often missed. If it is a dangerous injury and the patient is paralysed as a result, there will be grounds for a claim.




Recent Comments